Click Here for New Patient Forms
Busch Orthodontics
Form & Function Through Art, Science, and Teamwork
TM
1701 East Woodfield Road, Suite 500
Schaumburg, IL 60173
847-517-1333
HOME
ABOUT US
FAQ
TREATMENTS
FORMS
PUBLICATIONS & PRESENTATIONS
BLOG
CONTACT US
“If everyone in the service industry was as kind and caring as the staff here, it would be a pleasure to leave the house all the time."
– Alex P.
Treatments
Child/Early
Early intervention of underbite with crowding (Multistage treatment started at 6 years old)
Read more
Adolescent
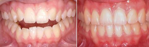
Adolescent with crowding and protrusion (14 year old female)
Read more
Clear Removable Aligner Treatment
Read more
Adult
Adult (63 year old male) successful
non-surgical
correction of underbite
Adult (28 year old male) with missing lateral incisors and collapsed arch
Read more
Surgical
Adult (63 year old male) successful
non-surgical
correction of underbite
Adult (28 year old male) with missing lateral incisors and collapsed arch
Congenital Absence of Teeth
Orthodontics and Jaw Surgery
Narrow Upper Jaw
Early Treatment
Adolescent Treatment
Adult Treatment
Congenital Absence of Teeth
Orthodontics and Jaw Surgery
Narrow Upper Jaw
Clear Removable Aligner Treatment
847-517-1333
©, Busch Orthodontics. All Rights Reserved.
1701 East Woodfield Road, Suite 500
Schaumburg, IL 60173
847-517-1333
Web design by Links Technology